
Hay mucho en juego, clínica y económicamente. Acelere la eficacia clínica con innovadoras ofertas de ecocardiografía que se esfuerzan por ayudar a que los equipos asistenciales trabajen de forma más inteligente, antes, durante y después de los procedimientos.
Descubra cómo las soluciones inteligentes de Philips permiten que los equipos de atención sanitaria trabajen con mayor eficacia en técnicas de ecocardiografía desde el momento en que un médico solicita el examen hasta la finalización, facturación y remisión del estudio.
Suena tan simple, pero sabemos a lo que se enfrentan los médicos todos los días: quieren pasar tiempo de calidad con sus pacientes, pero están agobiados y agotados por las ineficiencias y las tareas administrativas.
La necesidad de cambio es grande. El tiempo de cambiar es ahora.
Estamos aquí para ayudarlo a obtener la información que necesita para ver la imagen completa de la condición de su paciente de manera clara y rápida para permitir decisiones de atención precisas y personalizadas con nuestras ofertas de Echo Workflow.

Evaluación de los beneficios de la solución Echo Workflow: resultados de un estudio Delphi de dos pasos.
Este estudio evalúa los beneficios clínicos, operativos y económicos de la oferta de Echo Workflow. El consenso fue unánime en que la oferta puede mejorar el acceso a datos completos y longitudinales necesarios para la toma de decisiones sobre la atención del paciente; puede dar lugar a una mayor coherencia de los informes, reproducibilidad de las mediciones y comparabilidad; puede ayudar con una mejor colaboración dentro de la organización del usuario, puede ayudar a ahorrar tiempo de respuesta de informes y mejorar el tiempo de detección y/o diagnóstico.
"La solución ayuda con la plasticidad del flujo de trabajo: ser flexible y adaptable".
Obtenga más información sobre cómo nuestras soluciones de diagnóstico clínicamente inteligentes ayudan a agilizar los flujos de trabajo y brindan información procesable que aumenta tanto la confianza clínica como la eficiencia, sin compromiso.

Optimice el flujo de trabajo de ecocardiografía en toda su organización con Philips Ultrasound Workspace. Basado en el legado de la plataforma TOMTEC ARENA, permite una mayor eficiencia en la visualización, el análisis y la generación de informes al brindar a los equipos de atención la flexibilidad para adoptar diferentes flujos de trabajo en función de sus necesidades actuales y futuras.
IntelliSpace Cardiovascular está diseñado para ayudar a agilizar el flujo de trabajo y mejorar el rendimiento operativo en todo el proceso de atención cardiovascular.

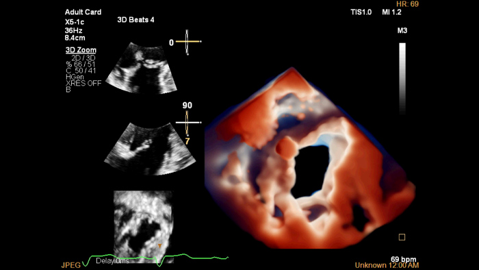
EPIQ CVx es una solución de ultrasonido cardíaco dedicada que trae avances significativos en la funcionalidad. Esto lo ayuda a brindar una mejor atención a través de una mayor potencia de procesamiento, imágenes excepcionales con más claridad y nitidez, eficiencias de examen mejoradas, complementadas con las capacidades de cuantificación sólidas y comprobadas de Ultrasound Workspace.

El sistema de ultrasonido Philips Affiniti CVx es una solución cardiovascular dedicada diseñada para satisfacer las demandas diarias de la cardiología, ayudándole a brindar una mejor atención a más pacientes.
Haga avanzar su programa de ecocardiografía a su máximo potencial. Consulte con un representante de ventas de Philips Healthcare hoy.
Obtenga diagnósticos confiables de manera más eficiente con productos y servicios integrados de imágenes cardíacas que están diseñados para ayudar a los equipos de atención a trabajar de manera más efectiva a lo largo de la ruta de atención al paciente.

Explore las soluciones de cardiología de Philips diseñadas para fortalecer la confianza clínica, aumentar la eficiencia en todo el proceso de atención y mejorar las experiencias de atención cardíaca.
You are about to visit a Philips global content page
Continue